マイクロスコープ診療、小児成人矯正、インビザライン矯正、インプラント治療の平塚市の歯医者さん
| 診療時間 | 月 | 火 | 水 | 木 | 金 | 土 | 日 |
|---|---|---|---|---|---|---|---|
| 9:00~13:30 | ○ | ○ | ○ | × | ○ | ○ | ● |
| 15:00~18:30 | ○ | ○ | ○ | × | ○ | △ | ● |
△:土曜日17:00まで/●:日祝15:00まで
休診日:木曜日
若いうちからで急速に進行してしまうタイプの歯周病は重度の歯周病になりやすいのですが、30代で歯周病により歯がぐらついてきてしまった方は要注意かもしれません。
歯周病菌は現在数百種類もいるといわれていますがいくつかの歯周病菌はとても悪性度の高い細菌です。現在、当院ではそのような重度の歯周病の恐れがある方、あるいは重度の歯周病の方に対して歯周病細菌遺伝子検査を行っております。
唾液を少量お口の中から採取するだけの簡単な検査ですが、採取された唾液は臨床検査センターに送られそこで遺伝子検査を行っています。
それによりあなたのお口の中の歯周病菌の悪性度が判明します。
歯周病細菌遺伝子検査は歯ぐきのすきまの溝にいる細菌を少量採取するだけなので簡単に検体を採取できる方法で、大学病院の歯周病科や歯周病専門医などでは一般的に行われている正確に歯周病細菌を検査する方法です。
簡便な歯周病菌検査や顕微鏡検査ではわからない、ご自身が持っている歯周病菌の種類やタイプがわかる方法なので、それによってその後の治療計画をたてることが可能になります。
歯周病は歯周病細菌による感染症であるので、重度の歯周病の場合は抗菌剤を併用した治療は非常に有効であることがわかっています。しかしむやみに抗菌剤を用いることは耐性菌を作り出すことにつながりますので避けなければいけません。抗菌化学療法の研究において先進国であるアメリカでは耐性菌と新薬の開発は常にいたちごっこであるため抗菌剤の使用は「しっかり有効な量の抗菌剤をできるかぎり短期間に使用すること」を原則としています。日本でももちろんそうですが・・・歯科においてはいままで歯周病が細菌感染による疾患であるにもかかわらずしっかりした細菌検査によって細菌の特定を行う事なく、どんな歯周病のタイプでも同じアプローチで治療を行う事が一般的でありました。その結果ある患者さんは歯周病がよくなり、またある患者さんは頻繁に
歯科医院に通院しても、一生懸命歯磨きをしても良くならないで歯を失っていく現状がありました。
その違いは個人個人の免疫力にもよりますがやはり感染症治療の原則としてどんなタイプの細菌に感染しているからどんな治療を行う必要があるのか、が非常に大事であると思います。
細菌検査の結果や各種口腔検査の結果を総合的に判断し、治療計画を個別にたてていきます。
抗菌剤を用いたFMD療法もそのうちの一つです。
ターゲットとなる歯周病菌が判明したらそれに対し抗菌剤を短期間投与し、1日ないし2日でお口の中の歯周病菌を機械的に除菌します。抗菌剤の血中濃度が有効なうちにバイオフィルムを破壊し歯周病菌を短期間で
壊滅させる必要があります。
1週間おきに何週間もかけて少しずつクリーニングしても悪性度の高い歯周病菌の場合再感染してしまうのでなかなか歯周病細菌を除菌できません。次々に感染していくためです。
そして除菌後に再検査をし細菌が検出されなければ終了です。あとは定期的な検診を行なっていきます。
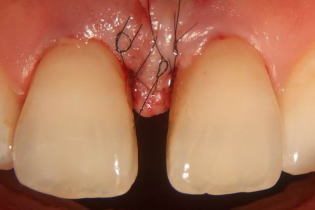
顕微鏡下で歯ぐきの外科処置を行い歯ぐきの治癒を妨げないよう髪の毛より細い縫合糸(7-0ナイロン)にて縫合した後の写真です。肉眼では取扱いの困難なほど細い糸なので歯ぐきも綺麗に治癒してきます。
| 施術名 | 歯周外科処置 |
|---|
| 施術の説明 | 顕微鏡を用いた歯ぐきの外科処置になります。歯ぐきの下の感染物質をきれいにしたあとに7−0ナイロン糸という極細の縫合糸を用いて歯ぐきの縫合をしています。 |
|---|
| 施術のリスク、副作用等 | 歯周外科処置のリスクは通常術後の歯ぐきの腫れ、出血、疼痛等を多少なりとも伴う処置になりますので抗生物質と鎮痛剤の服用を今回は1日しております。ただし顕微鏡下の処置によりそれらを最小限に抑えるように低侵襲で行っております。 |
|---|
| 施術の価格 | 55,000円 |
|---|
非常にきれいにブラッシングされているお口ですが
しかし歯ぐきのポケットの深さを測ってみると・・・7ミリも!
通常健康な状態であれば1~2ミリであることを考えるとかなり歯周病で骨が溶けていると思われます。そこで再生療法を行いました。
歯ぐきをめくると骨が半分溶けていました
エムドゲインと人工骨をいれて・・・
通常の糸で縫合した状態です。
通常2日分くらいの痛み止めを処方していますが最小限の侵襲に抑えた外科処置により従来の手術よりも腫れや痛みが少なくなります。くりかえし腫れたり炎症の治まらない歯ぐきを放置することは良くありませんので心配な方はご相談ください。根本的な解決をおすすめします。
| 施術名 | エムドゲインゲルとリン酸三カルシウムを用いた歯周外科処置 |
|---|
| 施術の説明 | 右下第二大臼歯に歯周病による骨の吸収部位を認めたため歯ぐきを剥離し、感染物質をきれいにしたうえで再生材料をもちいて骨の欠損部を補填し縫合する歯周外科処置を行いました。 |
|---|
| 施術のリスク、副作用等 | 歯周外科処置のリスクは通常術後の歯ぐきの腫れ、出血、疼痛等を多少なりとも伴う処置になることがあるので抗生物質と鎮痛剤の服用をしています |
|---|
| 施術の価格 | 85000円 |
|---|
初診時と5年経過時のエックス線写真です。GTR法により再生した骨、歯根膜が確認できました。
| 施術名 | GTR法をもちいた再生療法 |
|---|
| 施術の説明 | ゴアテックスメンブレンをもちいて再生療法の歯周外科処置をおこないました。 |
|---|
| 施術のリスクや副作用 | 術後の疼痛、腫れなどがあるので鎮痛薬と抗生物質を服用していただきました。本症例では1日それらを服用しました。またリスクとして術後の感染があるので、洗口剤を用いてうがいをしていただきました。 |
|---|
| 施術の価格 | 85,000円 |
|---|
| 施術名 | エムドゲインゲルを使用した歯周外科処置による再生療法 |
|---|
| 施術の説明 | 歯肉を剥離し感染物質をきれいにしたうえで医療用豚から精製したブタ歯はい組織を使用したエナメルマトリックスデリバティブ(エムドゲインゲル)を歯根表面に塗布し縫合した。 |
|---|
| リスク | 術後の感染リスク、疼痛、腫れなどがあげられます。 |
|---|
| 施術の価格 | 85,000円 |
|---|
この度5月15日より診療時間を以下のように変更させていただくことになりました。社会情勢の変化や働き方改革に伴い変更させていただく次第ですのでご不便をおかけすることもあると思いますがよろしくお願いいたします。
平日9:00~18:30
土曜9:00~17:00
平日土曜は昼休13:30~15:00
日・祝9:00~15:00
昼休なし
| 月 | 火 | 水 | 木 | 金 | 土 | 日 | |
|---|---|---|---|---|---|---|---|
| 午前 | ○ | ○ | ○ | × | ○ | ○ | ● |
| 午後 | ○ | ○ | ○ | × | ○ | △ | ● |
午前:9:00~13:30
午後:15:00~18:30
△:土曜は17:00まで
●:日曜・祝日は9:00~15:00
休診日:木曜日