マイクロスコープ診療、小児成人矯正、インビザライン矯正、インプラント治療の平塚市の歯医者さん
| 診療時間 | 月 | 火 | 水 | 木 | 金 | 土 | 日 |
|---|---|---|---|---|---|---|---|
| 9:00~13:30 | ○ | ○ | ○ | × | ○ | ○ | ● |
| 15:00~18:30 | ○ | ○ | ○ | × | ○ | △ | ● |
△:土曜日17:00まで/●:日祝15:00まで
休診日:木曜日
口元からこぼれる白く美しい歯にあこがれるという方は、たくさんいらっしゃると思います。当院では白い歯を実現するホワイトニングをご提供しています。専門の資格を持った歯科衛生士がホワイトニングを担当いたしますので、白いお歯を手に入れたいという方は、ぜひお気軽にご相談ください。
※保険外診療です
ホワイトニングとは、黄ばんだり変色したりしてしまった歯の表面を、薬剤で白くする治療方法です。歯の色素を薬剤で分解し、輝くような白い歯を実現します。
白い歯が覗く美しい口元とともに、お口の健康も手に入れたいという方は、ぜひ一度、当院にご相談ください。
当院には、ホワイトニングの専門知識や臨床技能を持っていることを、日本審美歯科学会から認定された、「ホワイトニング・コーディネーター」の資格を持つ歯科衛生士が在籍しています。
歯を白く美しく見せる治療に関する学問「審美歯科学」や、ホワイトニングについて専門に勉強しているため、正しい知識にもとづいて詳しくご説明をし、患者さまの相談にのることができます。ホワイトニングについて何かわからないこと、疑問に思うことがありましたら、どうぞ遠慮なくお声がけください。
ホワイトニングには歯科医院で行うオフィスホワイトニングと、患者さまご自身で行っていただくホームホワイトニングがあります。当院ではアメリカで人気のホームホワイトニング・システムを、厳選してご提供しています。
ホワイトニングは薬剤を直接歯につけるため、「しみる」というケースもあるようです。当院で提供しているホワイトニングは、しみにいシステムですので、これまでホワイトニングを敬遠していた患者さまにも、安心してお使いいただけます。
ご自宅で、患者さまご自身で行うホワイト二ングです。患者さまの歯並びに合わせて作ったマウスピースに、ホワイトニング用の薬剤を入れて、一定時間、歯に装着していただきます。
オフィスホワイトニングに比べると即効性は劣りますが、その分、治療後の色の戻りが遅いというメリットがあります。ご自分のペースで行えるため、お仕事などが忙しく、何度も通院するのが難しいという患者さまにはピッタリのホワイトニングです。
| ホームホワイトニング | \23,000円(税込) |
|---|
※薬剤がなくなったら、3,670円で追加購入できます。
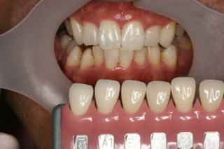
歯の色の見本と合わせて色の確認
約5段階ほど白くなりました。
| 施術名 | ホームホワイトニング |
|---|
| 施術の説明 | 歯面清掃後にカスタムメイドのホワイトニングトレーをホワイトニングジェルを塗布した状態で口腔内に装着し自宅で患者様自身によるホームホワイトニングを行った。結果1か月で5段階ほど色調が明るくなった。 |
|---|
| 施術のリスク | ホワイトニング中に知覚過敏症状を併発することがある。もともとの歯牙の色味によりホワイトスポットが斑点状あるいは帯状に出てくることがある。 |
|---|
| 施術の価格 | 上下あわせて23000円 |
|---|
お口の中を拝見し、ホワイトニングができる歯や歯ぐきの状態かどうかを確認します。
歯の表面の汚れを取ります。
歯の色の写真を撮影、型どりをしてマウスピースの製作。
専用のマウスピースとホームホワイトニング剤をお渡しいたします。
歯の色調の確認。歯の色の写真を撮影、比較いたします。
この度5月15日より診療時間を以下のように変更させていただくことになりました。社会情勢の変化や働き方改革に伴い変更させていただく次第ですのでご不便をおかけすることもあると思いますがよろしくお願いいたします。
平日9:00~18:30
土曜9:00~17:00
平日土曜は昼休13:30~15:00
日・祝9:00~15:00
昼休なし
| 月 | 火 | 水 | 木 | 金 | 土 | 日 | |
|---|---|---|---|---|---|---|---|
| 午前 | ○ | ○ | ○ | × | ○ | ○ | ● |
| 午後 | ○ | ○ | ○ | × | ○ | △ | ● |
午前:9:00~13:30
午後:15:00~18:30
△:土曜は17:00まで
●:日曜・祝日は9:00~15:00
休診日:木曜日