マイクロスコープ診療、小児成人矯正、インビザライン矯正、インプラント治療の平塚市の歯医者さん

〒254-0902 神奈川県平塚市徳延205
平塚駅北口よりバスにて13分 徳延神社前下車徒歩3分

診療時間

 9:00~13:30

×
15:00~18:30 ×

△:土曜日17:00まで/●:日祝15:00まで

休診日:木曜日

ご予約・お問合せはこちらへ

ヨ イ ハ ヨ
0463-74-4184

軽い歯周病の治療

できるだけ抜かない歯周病治療のために、知っておいていただきたいこと...

たぶん軽い歯周病かもと思われる方へ

比較的軽い歯周病であれば通常の歯ブラシやクリーニングで治ります。

しかし歯周病は自覚症状が出るのが病状がかなり進行してからのことが多いのも事実なので歯医者さんでレントゲンを撮ってビックリなんていうこともよくあります。まずはチェックすることが大事なのです。

重症かもと思われる方へ

現在の最新の方法では歯周病菌に対するその方が持っている免疫やお口の中に繁殖している歯周病菌の悪性度を唾液などから遺伝子検査することも可能になっています。

年齢的に20代~30代で歯周病の進行が急激な方は当院でもこの遺伝子検査をおすすめしています。唾液を少量採取することで簡単に検査できます。またご家族に重症な歯周病の

方がいらっしゃる場合、感染により代々受け継がれている場合もあります。

そのような場合まずご自分が持っている歯周病菌の種類、割合を検査により把握することから始まります。また溶けてしまった歯の周りの骨や組織を再生させる方法もあります。

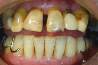
ブラッシングにより外科処置を回避できたケース

初診時
2か月後
8か月後
施術名
ブラッシング指導、歯石除去クリーニング
施術の説明
歯ブラシの使い方やフロス、歯間ブラシ等の指導、食事指導を繰り返し行っていきました。2か月ほどしてから歯石を少しずつ取っていきました。8か月で歯ぐきの炎症はなくなり引き締まった健康な状態になりました。
施術のリスクや副作用
歯ブラシ指導を先行してゆっくり歯石を除去していきながら改善したため歯肉が急に腫れたり、知覚過敏の症状はほとんどありせんでしたが期間は比較的ながくかかる結果となりました。
施術の価格
保険治療範囲内で行いました

検診・歯石取り・歯のクリーニング・フッ素塗布などもご予約いただけます。3ヶ月先のご予約もお気軽にどうぞ。

ヨ イ ハ ヨ
0463-74-4184

診療時間変更のお知らせ

この度5月15日より診療時間を以下のように変更させていただくことになりました。社会情勢の変化や働き方改革に伴い変更させていただく次第ですのでご不便をおかけすることもあると思いますがよろしくお願いいたします。

平日9:00~18:30
土曜9:00~17:00
平日土曜は昼休13:30~15:00

日・祝9:00~15:00
昼休なし
 

診療時間

 
午前 ×
午後 ×

午前:9:00~13:30
午後:15:00~18:30
△:土曜は17:00まで
●:日曜・祝日は9:00~15:00

休診日:木曜日