マイクロスコープ診療、小児成人矯正、インビザライン矯正、インプラント治療の平塚市の歯医者さん

〒254-0902 神奈川県平塚市徳延205
平塚駅北口よりバスにて13分 徳延神社前下車徒歩3分

診療時間

 9:00~13:30

×
15:00~18:30 ×

△:土曜日17:00まで/●:日祝15:00まで

休診日:木曜日

ご予約・お問合せはこちらへ

ヨ イ ハ ヨ
0463-74-4184

インビザライン矯正 マウスピース矯正 (3Dデジタルスキャナー使用)

矯正治療に興味があるけれど、目立つ矯正装置をつけるのには抵抗がある。と感じている方もいらっしゃるでしょう。当院では、透明なマウスピースを歯につけることで歯並びを改善する、マウスピース矯正をご提供。目立たず、また取り外しが可能なマウスピース矯正で、美しい歯並びを手に入れてみませんか?
※保険外診療です

目立たない「マウスピース」を使用した矯正治療

歯並びをキレイにしたい!でもワイヤーをつける矯正は目立つから恥ずかしいし、歯の裏側につける装置はしゃべりにくそうだし、どうしたらいいの?

そんな患者さまのために、当院では「マウスピース矯正」をご提供しています。

マウスピース矯正とは?

マウスピース矯正とは、薄く透明なマウスピースを歯に装着することで、歯を動かしていく矯正方法です。

一般的な歯列矯正というと、歯の表面に装置を取り付けて、ワイヤーで動かしていく矯正をイメージされる方が多いと思います。しかし近年は、取り外しのできるマウスピース矯正が、世界中で行われるようになってきました。

メリット
  • 目立たない
  • 痛みが少ない
  • 装置を外して食事や歯磨きができるため衛生的
  • 発音などの違和感が少ない
  • 金属アレルギーの心配がない
デメリット
  • 1日20時間~22時間、装置の装着が必要(固定式のワイヤー矯正では24時間装着)
  • ご自分の意思で装着しなければ治療が進まない
  • ワイヤー矯正より期間が長くかかってしまうケースがある
  • 適用できないケースがある
マウスピース矯正(全体的な矯正)  ~¥708,000(税込)

世界中で600万人以上(※)の治療実績がある、アメリカ生まれの矯正治療システムです。歯並びに合わせたオーダーメイドのマウスピース型の矯正装置を、治療の段階に応じて付け替えていくことで、歯を動かし、歯並びを少しずつ改善していきます。

事前に3D画像を使って、治療の経過や期間、最終的なご自身の歯並びを確認していただけるので、「どんなふうに歯が動いていくのか」という不安を持たずに、治療を受けていただけます。

院長は、インビザラインを開発したアラインテクノロジー社認定の「インビザラインドクター」に登録されておりますので、安心して治療をお任せください。

2019年7月現在小学生から始められるインビザライン・ファーストもあります。(料金は大人と異なりますため詳しくはお問い合わせください。)

(※)2019年現在

「健康になるため」の大人の矯正治療

大人になってからの矯正治療というと、「今さら矯正なんて」と思われる方も多いかもしれません。「仕事が忙しくて通院が面倒」「矯正装置のせいで食事も楽しめないのはイヤ」「何年も装置をつけ続けるのはつらい」など、いろいろな理由があると思います。

しかし実は、歯並びに乱れがある場合、長年にわたってズレた噛み合わせの位置で噛んでいることが多く、それにより全身症状を併発していることに気がついていない場合があるのです。

そこで矯正治療を行って歯並びを整えることで、見た目の美しさを手に入れるだけでなく、全身の健康にも良い影響を与えることが期待できます。

当院では大人の方の矯正治療にあたっては、まずマウスピースを使ったかみ合わせの治療を行い、全身症状の様子を見てから、本格的な矯正治療を行うこともできます。気になる症状がありましたら、まずは一度、お気軽にご相談ください。

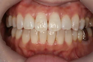
マウスピース(インビザライン)矯正症例紹介

25歳女性  インビザライン(マウスピース)矯正

※写真はご本人のご了解のもと掲載させていただいております

施術名
インビザラインによる矯正治療とホームホワイトニング
施術の説明
インビザラインによる全顎矯正を行った。期間2年
施術のリスク
矯正装置により口腔内粘膜にあたって傷ができる場合があります。歯が動くときに痛みや違和感を数日感じることがあります。矯正により動いた歯の歯ぐきが下がることがあります。治療中顎関節に違和感を生じることがあります。歯の神経の症状が出る場合があります。歯根吸収を起こすことがあります。後戻りを防ぐため数年はリテーナーが必要になります。
施術の価格
検査費用41000円 矯正費用708000円 保定費用48000円 ホワイトニング25,300円

マウスピース(インビザライン)矯正症例紹介

39歳女性  インビザライン(マウスピース)矯正
※写真はご本人のご了解のもと掲載させていただいております

施術名
インビザラインによる矯正治療
施術の説明
インビザラインによる全顎矯正を行った。期間2年
施術のリスク
矯正装置により口腔内粘膜にあたって傷ができる場合があります。歯が動くときに痛みや違和感を数日感じることがあります。矯正により動いた歯の歯ぐきが下がることがあります。治療中顎関節に違和感を生じることがあります。歯の神経の症状が出る場合があります。歯根吸収を起こすことがあります。後戻りを防ぐため数年はリテーナーが必要になります。
施術の価格
検査費用41000円 矯正費用708000円 保定費用48000円

マウスピース(インビザライン)矯正症例紹介

63歳女性  インビザライン(マウスピース)矯正

※写真はご本人のご了解のもと掲載させていただいております

施術名
インビザラインによる矯正治療
施術の説明
インビザラインによる全顎矯正を行った。期間2年半。
施術のリスク
矯正装置により口腔内粘膜にあたって傷ができる場合があります。歯が動くときに痛みや違和感を数日感じることがあります。矯正により動いた歯の歯ぐきが下がることがあります。治療中顎関節に違和感を生じることがあります。歯の神経の症状が出る場合があります。歯根吸収を起こすことがあります。後戻りを防ぐため数年はリテーナーが必要になります。
施術の価格
検査費用41000円 矯正費用708000円 保定費用48000円

マウスピース(インビザライン)矯正症例紹介

36歳女性  インビザライン(マウスピース)矯正

※写真はご本人のご了解のもと掲載させていただいております

施術名
インビザラインによる矯正治療
施術の説明
インビザラインによる全顎矯正を行った。期間1年8か月
施術のリスク
矯正装置により口腔内粘膜にあたって傷ができる場合があります。歯が動くときに痛みや違和感を数日感じることがあります。矯正により動いた歯の歯ぐきが下がることがあります。治療中顎関節に違和感を生じることがあります。歯の神経の症状が出る場合があります。歯根吸収を起こすことがあります。後戻りを防ぐため数年はリテーナーが必要になります。
施術の価格
検査費用41000円 矯正費用708000円 保定費用48000円

マウスピース(インビザライン)矯正症例紹介

32歳女性  インビザライン(マウスピース)矯正

※写真はご本人のご了解のもと掲載させていただいております

施術名
インビザラインによる矯正治療
施術の説明
インビザラインによる全顎矯正を行った。期間2年8月
施術のリスク
矯正装置により口腔内粘膜にあたって傷ができる場合があります。歯が動くときに痛みや違和感を数日感じることがあります。矯正により動いた歯の歯ぐきが下がることがあります。治療中顎関節に違和感を生じることがあります。歯の神経の症状が出る場合があります。歯根吸収を起こすことがあります。後戻りを防ぐため数年はリテーナーが必要になります。
施術の価格
検査費用41000円 矯正費用708000円 保定費用48000円

マウスピース(インビザライン)矯正症例紹介

30歳女性  インビザライン(マウスピース)矯正

※写真はご本人のご了解のもと掲載させていただいております

施術名
インビザラインによる矯正治療
施術の説明
インビザラインによる全顎矯正を行った。期間2年1か月
施術のリスク
矯正装置により口腔内粘膜にあたって傷ができる場合があります。歯が動くときに痛みや違和感を数日感じることがあります。矯正により動いた歯の歯ぐきが下がることがあります。治療中顎関節に違和感を生じることがあります。歯の神経の症状が出る場合があります。歯根吸収を起こすことがあります。後戻りを防ぐため数年はリテーナーが必要になります。
施術の価格
検査費用41000円 矯正費用708000円 保定費用48000円

マウスピース(インビザライン)矯正症例紹介

30歳女性  インビザライン(マウスピース)矯正

※写真はご本人のご了解のもと掲載させていただいております

施術名
インビザラインによる矯正治療
施術の説明
インビザラインによる全顎矯正を行った。期間2年10か月
施術のリスク
矯正装置により口腔内粘膜にあたって傷ができる場合があります。歯が動くときに痛みや違和感を数日感じることがあります。矯正により動いた歯の歯ぐきが下がることがあります。治療中顎関節に違和感を生じることがあります。歯の神経の症状が出る場合があります。歯根吸収を起こすことがあります。後戻りを防ぐため数年はリテーナーが必要になります。
施術の価格
検査費用41000円 矯正費用708000円 保定費用48000円

マウスピース(インビザライン)矯正症例紹介

20歳女性  インビザライン(マウスピース)矯正

※写真はご本人のご了解のもと掲載させていただいております

施術名
インビザラインによる矯正治療
施術の説明
インビザラインによる全顎矯正を行った。期間2年2か月
施術のリスク
矯正装置により口腔内粘膜にあたって傷ができる場合があります。歯が動くときに痛みや違和感を数日感じることがあります。矯正により動いた歯の歯ぐきが下がることがあります。治療中顎関節に違和感を生じることがあります。歯の神経の症状が出る場合があります。歯根吸収を起こすことがあります。後戻りを防ぐため数年はリテーナーが必要になります。
施術の価格
検査費用41000円 矯正費用708000円 保定費用48000円

マウスピース(インビザライン)矯正症例紹介

18歳男性  インビザライン(マウスピース)矯正

※写真はご本人のご了解のもと掲載させていただいております

施術名
インビザラインによる矯正治療
施術の説明
インビザラインによる全顎矯正を行った。期間2年5か月
施術のリスク
矯正装置により口腔内粘膜にあたって傷ができる場合があります。歯が動くときに痛みや違和感を数日感じることがあります。矯正により動いた歯の歯ぐきが下がることがあります。治療中顎関節に違和感を生じることがあります。歯の神経の症状が出る場合があります。歯根吸収を起こすことがあります。後戻りを防ぐため数年はリテーナーが必要になります。
施術の価格
検査費用41000円 矯正費用708000円 保定費用48000円

マウスピース(インビザライン)矯正症例紹介

17歳女性  インビザライン(マウスピース)矯正

※写真はご本人のご了解のもと掲載させていただいております

施術名
インビザラインによる矯正治療
施術の説明
インビザラインによる全顎矯正を行った。期間1年11か月
施術のリスク
矯正装置により口腔内粘膜にあたって傷ができる場合があります。歯が動くときに痛みや違和感を数日感じることがあります。矯正により動いた歯の歯ぐきが下がることがあります。治療中顎関節に違和感を生じることがあります。歯の神経の症状が出る場合があります。歯根吸収を起こすことがあります。後戻りを防ぐため数年はリテーナーが必要になります。
施術の価格
検査費用41000円 矯正費用708000円 保定費用48000円

マウスピース(シースルーテックアライナー)矯正症例紹介

46歳女性 治療期間7ヶ月 上:マウスピース 下:ワイヤー
※写真はご本人のご了解のもと掲載させていただいております

施術名
シースルーテックアライナー矯正&ワイヤー矯正
施術の説明
下顎前歯部は目立たないためワイヤー矯正を行い同時に上顎前歯部はマウスピース矯正を行った。期間2年4か月。
施術のリスク
矯正装置により口腔内粘膜にあたって傷ができる場合があります。歯が動くときに痛みや違和感を数日感じることがあります。矯正により動いた歯の歯ぐきが下がることがあります。治療中顎関節に違和感を生じることがあります。歯の神経の症状が出る場合があります。歯根吸収を起こすことがあります。後戻りを防ぐため数年はリテーナーが必要になります。
施術の価格
下顎ワイヤー矯正200000円 上顎マウスピース矯正250000円

インビザラインの流れ

ご相談

歯並びや噛み合わせについて、気になることを何でもご相談ください。矯正治療について大まかな説明をいたします。

精密検査

レントゲン撮影、歯型を3Dデジタルスキャナー(iTero)で撮影し 、噛み合わせの状態を確認。さらに、お口やお顔のお写真撮影など、診断のための検査を行います。

治療計画の説明

検査結果をご説明し、3D画像による治療計画のシュミレーション動画をパソコン上でご説明致します。

治療・通院

治療計画にご納得いただけましたら、治療を開始します。

治療後の観察

歯並びが整ったら、保定装置( リテーナー) をつけていただきながら、経過観察を行います。

検診・歯石取り・歯のクリーニング・フッ素塗布などもご予約いただけます。3ヶ月先のご予約もお気軽にどうぞ。

ヨ イ ハ ヨ
0463-74-4184

診療時間変更のお知らせ

この度5月15日より診療時間を以下のように変更させていただくことになりました。社会情勢の変化や働き方改革に伴い変更させていただく次第ですのでご不便をおかけすることもあると思いますがよろしくお願いいたします。

平日9:00~18:30
土曜9:00~17:00
平日土曜は昼休13:30~15:00

日・祝9:00~15:00
昼休なし
 

診療時間

 
午前 ×
午後 ×

午前:9:00~13:30
午後:15:00~18:30
△:土曜は17:00まで
●:日曜・祝日は9:00~15:00

休診日:木曜日