マイクロスコープ診療、小児成人矯正、インビザライン矯正、インプラント治療の平塚市の歯医者さん

〒254-0902 神奈川県平塚市徳延205
平塚駅北口よりバスにて13分 徳延神社前下車徒歩3分

診療時間

 9:00~13:30

×
15:00~18:30 ×

△:土曜日17:00まで/●:日祝15:00まで

休診日:木曜日

ご予約・お問合せはこちらへ

ヨ イ ハ ヨ
0463-74-4184

当院の入れ歯治療

入れ歯が合わず、痛みがある、ガタつく、外れやすいといったお悩みを抱えたまま、我慢しているという方も少なくないと思います。当院では精密義歯(BPS)という、お口にピッタリ合う「よく噛める」入れ歯をご提供しています。部分入れ歯も各種ご用意していますので、まずは一度、お気軽にご相談ください。
※このページでご紹介する入れ歯は保険外診療です

しっかりと噛める総入れ歯「精密義歯(BPS)」

従来の健康保険の範囲内で作る入れ歯では、なかなかしっかりと噛めるようにならず、お困りの患者さまもいらっしゃるのではないでしょうか?

保険で作る入れ歯の場合、決められた素材しか使えないため、最低限の材料や方法でしか作ることができません。そのため、なかなか満足のいく、お口にピッタリ合った入れ歯が作れないこともあるのが現状です。

あけぼの歯科では精密義歯(BPS)という、「よく噛める」特殊な入れ歯の治療を行っています。

精密義歯(BPS)とは?

精密義歯(BPS)はヨーロッパのリヒテンシュタイン公国にある世界的な歯科専門メーカー、イボクラールビバデント社が開発した、最新の入れ歯製作システムです。現在では世界中の歯科大学でも、そのシステムが取り入れられるようになってきました。

精密義歯(BPS)の特徴

従来の保険で作る入れ歯には、レジンというプラスチックの一種が使われます。このレジンは長期間お口に入れていると、少しずつ水を吸い、食べ物の色素がしみ込み、また食べ物の熱の影響で変形してきます。そのため、長く使ううちにだんだんと変色したり、お口に合わなくなることもあるのです。

しかし精密義歯(BPS)は、保険で使うレジンよりも、本物の歯や歯ぐきに近い自然な色調を再現できるので、入れ歯だと周囲に気づかれにくいというメリットがあります。また水を吸ったり、色素がしみ込むということも少ないため、長くお使いいただいていてもキレイな見た目を保てます。さらに変形も少ないため、長期間の使用で合わなくなるということも、ほとんどありません。

自費診療になりますので、保険で作る入れ歯よりも、最初にかかる費用は高くなってしまいます。しかし、上記のようなメリットを考慮して、長い目で見た場合に、決して高い治療ではないと思います。

BPSデンチャー製作のおおまかな流れ
  1. リハビリ用の入れ歯を作ります。
  2. リハビリ用の入れ歯をしばらく使っていただき、慣らします。
  3. 本格的に入れ歯を製作します。
シリコン製のやわらかい入れ歯

精密義歯(BPS)以外にも、生体用シリコンを使ったやわらかい入れ歯をご用意しています。弾力のあるシリコンが噛んだときの歯ぐきにかかる負担を和らげて、「痛くない」「よく噛める」「外れにくい」入れ歯を実現。製作を始める前に、まずはリハビリ用の入れ歯を作ります。

当院では、患者さま一人ひとりのご要望にピッタリ合う、最適な入れ歯をご提案できるように努めていますので、どうぞお気軽にご相談ください。

バネが見えないオーダーメイドの部分入れ歯

部分入れ歯を入れたことがない方や、現在すでに入れ歯を使用している方でも、入れ歯の形に違和感が強かったり、発音が気になるなど、不快な症状をお持ちの方もいらっしゃると思います。入れ歯が完成し、使ってみてはじめて気づく違和感・異物感は、作る前にはなかなかイメージしづらいものです。

部分入れ歯を試着できる

そこで当院では、「オーダーメイドの部分入れ歯」をお作りしています。部分入れ歯を製作する前に、仕立て屋さんの作るオーダーメイドのスーツや洋服の仮縫いのように、お口に合わせて試着することができるようにしています。

そうすることで、どんな入れ歯になるのか、最終的なかたちをご自身でイメージすることができますし、細かなところまでお口に合った設計にすることが可能になるのです。

部分入れ歯を作る際に、まず何パターンかの設計を考え、その患者さまのお口にベストと思われる「最適な部分入れ歯のかたち」を、ご相談しながら決定していきます。

ワンパターンな設計では、個人のお口に合った入れ歯を作ることはできません。なぜなら、歯の状態、粘膜の状態、噛む力の強さ、発音などといった、さまざまな要素が一人ひとりまったく違うからです。そのため当院では、入れ歯のバネひとつとっても、歯の状態に合わせてさまざまな材質や形態を選択しています。

入れ歯を入れる目的とは、今ある歯を支えて長持ちさせながら、噛む機能を回復させることです。したがって、違和感が少なく、歯に負担をできるだけかけないようにする必要があるのです。

人によってフレームの最適な形態はさまざまです。一つとして同じ形はありません。

腕の良い歯科技工士が、入れ歯の製作を担当

入れ歯や歯の詰め物・被せ物といった技工物は、歯科技工所に依頼して、歯科技工士という専門家に製作してもらいます。技工所や技工士にはそれぞれ得意分野があり、入れ歯が得意な技工所もあれば、詰め物や被せ物が得意な技工所もあります。

当院では入れ歯が得意な歯科技工所に依頼して、質の良い入れ歯を製作してもらっています。

精密義歯(BPS)を製作する際にはお口の状況によって歯科技工士も立ち会い、患者さま一人ひとりのお口にピッタリ合う入れ歯をお作りするようにしていますので、どうぞ安心してお任せください。

保険外の特別な入れ歯を、種類豊富にご用意

当院では保険診療の範囲内でもしっかりと噛める入れ歯をお作りしていますが、その場合、入れ歯に使える素材に制約があります。そのため、見た目の美しさ(自然さ)や長持ちするか否か、装着したときの快適性といった観点では、どうしても保険外の入れ歯の方が優れているのも事実です。

そこで、より見た目が良く、快適で長持ちをする入れ歯をお求めの患者さまのために、以下のような保険外の入れ歯もご提供しています。

患者さま一人ひとりのご希望やお口の状況に合わせて、ピッタリの入れ歯をお選びいたしますので、まずはお気軽にご相談ください。

総入れ歯

生体用シリコン(加工修理)
(3年保証)
片頬 ¥200,000
生体用シリコン義歯(新製) 片頬 ¥380,000
BPSデンチャー
(ドイツ式精密総入れ歯)
上下顎 ¥680,000
インプラントを土台にした取り外せる入れ歯(2本インプラント) ¥850,000
インプラントを土台にした取り外せる入れ歯(4本インプラント) ¥1,200,000
インプラントを土台にした固定式の歯(ブリッジタイプ)
(4~8本インプラント)
¥1,800,000~¥2,200,000

※金額は全て税込です。

部分入れ歯

バネのない入れ歯
(少数歯中間欠損用)
¥56,000~¥85,000
(歯数によって)
金属の部分入れ歯(スタンダード)
(高強度コバルトクロム合金製)
¥286,000
金属の部分入れ歯
(軽量高強度チタン製)
¥387,000
金属の部分入れ歯
(バネの見えないエステティックタイプ)
¥387,000
金属の部分入れ歯
(バネの見えないエステティックタイプ)
¥387,000
ボタン式入れ歯 ¥286,000+ボタン1ヵ所¥52,500
義歯内面ボタン交換 ¥2,100(オーリング)
¥3,100(クーゲルホック)

※金額は全て税込です。

オーバーデンチャー ¥286,000
金属床義歯 ¥286,000
クーゲルホックアタッチメント ¥55,000(1箇所につき)
その他各種アタッチメント ¥100,000~

※金額は全て税別/税込です。

見えないバネの入れ歯(OPAアタッチメントデンチャー)

施術名
OPAアタッチメントデンチャー
施術の説明
使用していた義歯のばねをみえないようにしたいご希望があったので義歯の内面にばねを埋め込むタイプのOPAアタッチメントを適用した義歯に作り替えた
リスク
通常のばねの部分入れ歯よりも外しにくいので、外しやすいよう形態に工夫が必要となる。今回は爪をひっかけて外せるようくぼみをつけた形態とした。義歯の掃除を怠ると細菌増殖により口腔内が不潔になる。
施術の価格
義歯上下あわせて760000円

見えないバネの入れ歯(エステショットキャストパーシャルデンチャー)

施術名
エステショットキャストパーシャルデンチャー
施術の説明
上顎臼歯部の欠損においてインプラント埋入のための垂直的な骨の高さが不足していたためラテラルアプローチによる上顎洞底部の挙上を行い骨補填材により増骨処置を行った。それによりインプラント埋入に必要な骨の高さが得られた。
施術のリスク
経年的に義歯の維持力低下が起こるので調整が必要となる。ウイング部分に無理な力をかけて外そうとすると破折することがある
施術の価格
上顎380000円

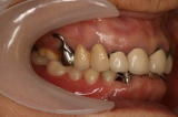
ボタン式入れ歯のケース(クーゲルホックアタッチメントデンチャー)

before

ボタンを設置

after

施術名
クーゲルホックアタッチメントデンチャー
施術の説明
天然歯の根が残っていたのでそれを利用して入れ歯を安定させるためのアタッチメントを作成。その上に金属(コバルトクロム合金)のフレームの入った部分義歯を作成した。
施術のリスク
残根状態の天然歯の上にデンチャーが乗っかるので周囲歯肉に炎症を起こすことがあるため十分な歯磨きが必要である。クーゲルホックフィメールの部品は消耗して緩くなったら交換する必要がある。
施術の価格
クーゲルホック55000円 部分金属義歯280000円

入れ歯治療の流れ

現在使用中の入れ歯の調整

使用中の入れ歯がある場合は、調整します。

お口の中の検査

お口の中を検査します。

説明

お口がどんな状態なのかをご説明し、治療計画をご案内します。

治療

あごの形や頬の動きを確認し、入れ歯をつくるための「型取り」を行います。

歯科技工所での入れ歯作製

型取りしたデータをもとに、歯科技工所で入れ歯をつくります。

入れ歯の完成

完成した入れ歯をお渡しし、使い方やお手入れの方法をご案内します。

検診・歯石取り・歯のクリーニング・フッ素塗布などもご予約いただけます。3ヶ月先のご予約もお気軽にどうぞ。

ヨ イ ハ ヨ
0463-74-4184

診療時間変更のお知らせ

この度5月15日より診療時間を以下のように変更させていただくことになりました。社会情勢の変化や働き方改革に伴い変更させていただく次第ですのでご不便をおかけすることもあると思いますがよろしくお願いいたします。

平日9:00~18:30
土曜9:00~17:00
平日土曜は昼休13:30~15:00

日・祝9:00~15:00
昼休なし
 

診療時間

 
午前 ×
午後 ×

午前:9:00~13:30
午後:15:00~18:30
△:土曜は17:00まで
●:日曜・祝日は9:00~15:00

休診日:木曜日