歯並びの乱れが気になって食事やおしゃべりを楽しめず、つい下を向いてしまってはいませんか?キレイな歯並びは見た目の美しさだけでなく、お口の健康にとってもメリットが大きいものです。当院ではすべてのケースを院長がトータルで担当しています。目立たない白いワイヤー矯正やインビザラインなどのマウスピース矯正治療もご提供しておりますので、興味をお持ちの方はぜひ無料相談をご利用ください。
 ※保険外診療です
 
 |   施術名   |    ワイヤー矯正   | 
|---|
|   施術の説明   |    奥歯を後ろにずらしてスペースをつくり、前に出ていた前歯を後ろに下げました。ヘッドギアをしっかり使って頂き抜歯せずに治療したケースです。マルチブラケット装置で仕上げました。   | 
|---|
|   施術のリスク   |    矯正装置により口腔内粘膜にあたって傷ができる場合があります。歯が動くときに痛みや違和感を数日感じることがあります。矯正により動いた歯の歯ぐきが下がることがあります。治療中顎関節に違和感を生じることがあります。歯の神経の症状が出る場合があります。歯根吸収を起こすことがあります。後戻りを防ぐため数年はリテーナーが必要になります。   | 
|---|
|   施術の価格   |    625000円   | 
|---|
 
 |   施術名   |    ワイヤー矯正   | 
|---|
|   施術の説明   |    奥歯を後ろにずらしてスペースをつくりかみ合わせを高くして、前に出ていた前歯を後ろに下げました。抜歯せずに治療したケースです。マルチブラケット装置で仕上げました。   | 
|---|
|   施術のリスク   |    矯正装置により口腔内粘膜にあたって傷ができる場合があります。歯が動くときに痛みや違和感を数日感じることがあります。矯正により動いた歯の歯ぐきが下がることがあります。治療中顎関節に違和感を生じることがあります。歯の神経の症状が出る場合があります。歯根吸収を起こすことがあります。後戻りを防ぐため数年はリテーナーが必要になります。   | 
|---|
|   施術の価格   |    625000円   | 
|---|
 
 |   施術名   |    ワイヤー矯正   | 
|---|
|   施術の説明   |    抜歯矯正をワイヤー装置にて治療しました。永久歯の先天欠如のため下顎乳歯の抜歯および上顎の4番目の歯の抜歯を行いました。   | 
|---|
|   施術のリスク   |    矯正装置により口腔内粘膜にあたって傷ができる場合があります。歯が動くときに痛みや違和感を数日感じることがあります。矯正により動いた歯の歯ぐきが下がることがあります。治療中顎関節に違和感を生じることがあります。歯の神経の症状が出る場合があります。歯根吸収を起こすことがあります。後戻りを防ぐため数年はリテーナーが必要になります。   | 
|---|
|   施術の価格   |    845000円   | 
|---|
 
 |   施術名   |    インビザライン矯正+ホームホワイトニング+上前歯4本セラミッククラウン治療   | 
|---|
|   施術の説明   |    マウスピース矯正(インビザライン矯正)により全顎治療を非抜歯で行い終了後ホームホワイトニングを行った。上顎前歯部4本は失活歯(神経のない歯)であったためファイバーコア築造しジルコニアセラミック冠にて補綴を行った。   | 
|---|
|   施術のリスク   |    矯正装置により口腔内粘膜にあたって傷ができる場合があります。歯が動くときに痛みや違和感を数日感じることがあります。矯正により動いた歯の歯ぐきが下がることがあります。治療中顎関節に違和感を生じることがあります。歯の神経の症状が出る場合があります。歯根吸収を起こすことがあります。後戻りを防ぐため数年はリテーナーが必要になります。   | 
|---|
|   施術の価格   |    インビザライン矯正796,000円ホワイトニング25300円セラミック治療440000円   | 
|---|
 
 |   施術名   |    1期治療(拡大床装置など)~2期治療(ワイヤー矯正で非抜歯仕上げ)   | 
|---|
|   施術の説明   |    小学生の間に上下歯列の拡大を拡大床や3DLiで行い舌機能訓練で舌癖など改善しながら、中学生で永久歯になってからマルチブラケット装置を装着し非抜歯治療で仕上げを行った。舌のスペースは広がり舌癖は改善され正常な鼻呼吸も獲得された。   | 
|---|
|   施術のリスク   |    矯正装置により口腔内粘膜にあたって傷ができる場合があります。歯が動くときに痛みや違和感を数日感じることがあります。矯正により動いた歯の歯ぐきが下がることがあります。治療中顎関節に違和感を生じることがあります。歯の神経の症状が出る場合があります。歯根吸収を起こすことがあります。後戻りを防ぐため数年はリテーナーが必要になります。   | 
|---|
|   施術の価格   |    1期治療495,000円 2期治療350,000円   | 
|---|
 |   施術名   |    ワイヤー矯正   | 
|---|
|   施術の説明   |    口元の突出感を主訴としていたため上下左右第一小臼歯抜歯後にマルチブラケット装置で仕上げました。   | 
|---|
|   施術のリスク   |    矯正装置により口腔内粘膜にあたって傷ができる場合があります。歯が動くときに痛みや違和感を数日感じることがあります。矯正により動いた歯の歯ぐきが下がることがあります。治療中顎関節に違和感を生じることがあります。歯の神経の症状が出る場合があります。歯根吸収を起こすことがあります。後戻りを防ぐため数年はリテーナーが必要になります。   | 
|---|
|   施術の価格   |    1期治療495000円 2期治療350000円   | 
|---|
 |   施術名   |    ワイヤー矯正   | 
|---|
|   施術の説明   |    混合歯列期~永久歯列期にかけて3Dリンガル装置、2×4装置、チンキャップ  Ⅲ級カリエールディスタライザー、マルチブラケット装置を用いて仕上げました。  | 
|---|
|   施術のリスク   |    矯正装置により口腔内粘膜にあたって傷ができる場合があります。歯が動くときに痛みや違和感を数日感じることがあります。矯正により動いた歯の歯ぐきが下がることがあります。治療中顎関節に違和感を生じることがあります。歯の神経の症状が出る場合があります。歯根吸収を起こすことがあります。後戻りを防ぐため数年はリテーナーが必要になります。   | 
|---|
|   施術の価格   |    845000円   | 
|---|
 
 |   施術名   |    ワイヤー矯正と上前歯ジルコニアセラミック   | 
|---|
|   施術の説明   |    上の前歯の変色と形態の問題があり、全体の歯並びは上顎が前に出た状態でした。  上顎の小臼歯を抜歯し、下顎は非抜歯でワイヤー矯正を行いました。 上の前歯は神経のない歯のため黒変していたためセラミッククラウンを入れました。  | 
|---|
|   施術のリスク   |    矯正装置により口腔内粘膜にあたって傷ができる場合があります。歯が動くときに痛みや違和感を数日感じることがあります。矯正により動いた歯の歯ぐきが下がることがあります。治療中顎関節に違和感を生じることがあります。歯の神経の症状が出る場合があります。歯根吸収を起こすことがあります。後戻りを防ぐため数年はリテーナーが必要になります。   | 
|---|
|   施術の価格   |    矯正 85万円  セラミック4本 30万8千円  | 
|---|
 
 
 
 
 
 |   施術名   |    ワイヤー矯正&オールセラミッククラウン&ホワイトニング   | 
|---|
|   施術の説明   |    固定式のワイヤー装置で矯正治療を行った後にホームホワイトニングをしてもともと細かった上の前歯2本(矮小歯)をオールセラミッククラウンで修復し形態改善しました。   | 
|---|
|   リスク   |    矯正に関しては矯正装置により口腔内粘膜にあたって傷ができる場合があります。歯が動くときに痛みや違和感を数日感じることがあります。矯正により動いた歯の歯ぐきが下がることがあります。治療中顎関節に違和感を生じることがあります。歯の神経の症状が出る場合があります。歯根吸収を起こすことがあります。後戻りを防ぐため数年はリテーナーが必要になります。ホワイトニングに関しては視覚過敏症状が一時的に出る場合があります。食事の内容によりますが着色しやすいものが多い場合後戻りが早いこともあります。オールセラミッククラウンはセラミックのためまれに固いものや強い歯ぎしり、あるいは転倒してぶつけるなどした場合破損する可能性があります術後の感染リスク、疼痛、腫れなどがあげられます。   | 
|---|
|   施術の価格   |    ワイヤー矯正850000円 ホワイトニング21600円   オールセラミッククラウン2本200000円  | 
|---|
 
 
 |   施術名   |    ムーシールド & MFT   | 
|---|
|   施術の説明   |    ムーシールドの夜間装着と舌機能訓練を行いました。4か月で改善が見られました。   | 
|---|
|   リスク   |    矯正に関しては矯正装置により口腔内粘膜にあたって傷ができる場合があります。歯が動くときに痛みや違和感を数日感じることがあります。矯正により動いた歯の歯ぐきが下がることがあります。治療中顎関節に違和感を生じることがあります。歯の神経の症状が出る場合があります。歯根吸収を起こすことがあります。後戻りを防ぐため数年はリテーナーが必要になります。   | 
|---|
|   施術の価格   |    55000円   | 
|---|
 
 |   施術名   |    ワイヤー矯正   | 
|---|
|   施術の説明   |    ワイヤー矯正により非抜歯で治療しました。金属アレルギーのため、セラミックブラケットと特殊なチタン製チューブを使用しました。笑ったときに下の歯も自然に見えるようになりました。   | 
|---|
|   施術のリスク   |    矯正に関しては矯正装置により口腔内粘膜にあたって傷ができる場合があります。歯が動くときに痛みや違和感を数日感じることがあります。矯正により動いた歯の歯ぐきが下がることがあります。治療中顎関節に違和感を生じることがあります。歯の神経の症状が出る場合があります。歯根吸収を起こすことがあります。後戻りを防ぐため数年はリテーナーが必要になります。   | 
|---|
|   施術の価格   |    825000円   | 
|---|
 |   施術名   |    ワイヤー矯正   | 
|---|
|   施術の説明   |    ワイヤー矯正により非抜歯で治療しました。   | 
|---|
|   施術のリスク   |    矯正に関しては矯正装置により口腔内粘膜にあたって傷ができる場合があります。歯が動くときに痛みや違和感を数日感じることがあります。矯正により動いた歯の歯ぐきが下がることがあります。治療中顎関節に違和感を生じることがあります。歯の神経の症状が出る場合があります。歯根吸収を起こすことがあります。後戻りを防ぐため数年はリテーナーが必要になります。   | 
|---|
|   施術の価格   |    825000円   | 
|---|
 Before
 治療中
 After
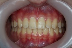
|   施術名   |    ワイヤー矯正   | 
|---|
|   施術の説明   |    カリエールモーションという装置を使用していただき奥歯を後ろにずらすことで歯を抜かずにワイヤー矯正で治療できました。その結果、気になっていた前歯が中にはいり口元が自然になりました。※現在ではこの装置は透明のものが開発されましたので更に目立たなくなっています。   | 
|---|
|   施術のリスク   |    矯正に関しては矯正装置により口腔内粘膜にあたって傷ができる場合があります。歯が動くときに痛みや違和感を数日感じることがあります。矯正により動いた歯の歯ぐきが下がることがあります。治療中顎関節に違和感を生じることがあります。歯の神経の症状が出る場合があります。歯根吸収を起こすことがあります。後戻りを防ぐため数年はリテーナーが必要になります。   | 
|---|
|   施術の価格   |    825000円   | 
|---|
 Before
 治療中
 After
|   施術名   |    ムーシールドを使った1期治療~ワイヤー矯正を使った2期治療    | 
|---|
|   施術の説明   |    最初にムーシールドを4か月ほど使用していただき前歯部のかみ合わせは真ん中の写真のように改善しました。舌機能訓練(MFT)を併用しながら1期治療を過ごし、その後2期治療で骨格性の反対咬合の治療をチンキャップ、ワイヤー矯正等で行いました。   | 
|---|
|   施術のリスク   |    矯正に関しては矯正装置により口腔内粘膜にあたって傷ができる場合があります。歯が動くときに痛みや違和感を数日感じることがあります。矯正により動いた歯の歯ぐきが下がることがあります。治療中顎関節に違和感を生じることがあります。歯の神経の症状が出る場合があります。歯根吸収を起こすことがあります。後戻りを防ぐため数年はリテーナーが必要になります。   | 
|---|
|   施術の価格   |    825000円   | 
|---|
 
 |   施術名   |    ワイヤー矯正   | 
|---|
|   施術の説明   |    ヘッドギアという装置を使用していただき奥歯を後ろにずらすことで最終的にワイヤー矯正で仕上げて歯を抜かずに治療できました。   | 
|---|
|   施術のリスク   |    矯正に関しては矯正装置により口腔内粘膜にあたって傷ができる場合があります。歯が動くときに痛みや違和感を数日感じることがあります。矯正により動いた歯の歯ぐきが下がることがあります。治療中顎関節に違和感を生じることがあります。歯の神経の症状が出る場合があります。歯根吸収を起こすことがあります。後戻りを防ぐため数年はリテーナーが必要になります。   | 
|---|
|   施術の価格   |    825000円   | 
|---|
 Before
 治療中
 終了時
|   施術名   |    ワイヤー矯正   | 
|---|
|   施術の説明   |    犬歯の生えるスペースがほとんどない状態でほっておくと八重歯になってしまうケースでしたが抜歯することなく、ペンデュラムという装置とヘッドギア装置を使用していただき奥歯を順番にうしろに動かし前歯にスペースをつくることで、抜かずに最終的にワイヤー矯正で仕上げて歯ならびが整いました。   | 
|---|
|   施術のリスク   |    矯正に関しては矯正装置により口腔内粘膜にあたって傷ができる場合があります。歯が動くときに痛みや違和感を数日感じることがあります。矯正により動いた歯の歯ぐきが下がることがあります。治療中顎関節に違和感を生じることがあります。歯の神経の症状が出る場合があります。歯根吸収を起こすことがあります。後戻りを防ぐため数年はリテーナーが必要になります。   | 
|---|
|   施術の価格   |    825000円   | 
|---|
 Before
 治療経過
|   施術名   |    ワイヤー矯正   | 
|---|
|   施術の説明   |    リンガルアーチという装置で外から見えないように内側から上顎前歯部のかみ合わせを改善しワイヤー矯正で整え経過観察としました。   | 
|---|
|   施術のリスク   |    矯正に関しては矯正装置により口腔内粘膜にあたって傷ができる場合があります。歯が動くときに痛みや違和感を数日感じることがあります。矯正により動いた歯の歯ぐきが下がることがあります。治療中顎関節に違和感を生じることがあります。歯の神経の症状が出る場合があります。歯根吸収を起こすことがあります。後戻りを防ぐため数年はリテーナーが必要になります。成長期の過程にあるため今後下顎の成長により再度の矯正が必要になる場合があります。   | 
|---|
|   施術の価格   |    485000円   | 
|---|
 
 |   施術名   |    ワイヤー矯正   | 
|---|
|   施術の説明   |    取り外し式の装置とワイヤーの装置で治療しました。   | 
|---|
|   施術のリスク   |    矯正に関しては矯正装置により口腔内粘膜にあたって傷ができる場合があります。歯が動くときに痛みや違和感を数日感じることがあります。矯正により動いた歯の歯ぐきが下がることがあります。治療中顎関節に違和感を生じることがあります。歯の神経の症状が出る場合があります。歯根吸収を起こすことがあります。後戻りを防ぐため数年はリテーナーが必要になります。   | 
|---|
|   施術の価格   |    605000円   | 
|---|
 Before
 途中
 終了時
|   施術名   |    非抜歯によるワイヤー矯正   | 
|---|
|   施術の説明   |    固定式の内側の装置により上の奥歯を後ろにずらしていくことによりスペースをつくり、最終的にワイヤー矯正で仕上げを行いました。   | 
|---|
|   施術のリスク   |    矯正に関しては矯正装置により口腔内粘膜にあたって傷ができる場合があります。歯が動くときに痛みや違和感を数日感じることがあります。矯正により動いた歯の歯ぐきが下がることがあります。治療中顎関節に違和感を生じることがあります。歯の神経の症状が出る場合があります。歯根吸収を起こすことがあります。後戻りを防ぐため数年はリテーナーが必要になります。   | 
|---|
|   施術の価格   |    825000円   | 
|---|
 Before
 途中
 終了時
|   施術名   |    抜歯をともなうワイヤー矯正   | 
|---|
|   施術の説明   |    顎骨の成長のほぼ終了した年齢からの矯正スタートとなったため、現在の顎の骨の大きさに合わせた歯並びを作るため小臼歯の4本抜歯を行い、ワイヤー矯正で仕上げた。   | 
|---|
|   施術のリスク   |    矯正に関しては矯正装置により口腔内粘膜にあたって傷ができる場合があります。歯が動くときに痛みや違和感を数日感じることがあります。矯正により動いた歯の歯ぐきが下がることがあります。治療中顎関節に違和感を生じることがあります。歯の神経の症状が出る場合があります。歯根吸収を起こすことがあります。後戻りを防ぐため数年はリテーナーが必要になります。   | 
|---|
|   施術の価格   |    825000円   | 
|---|
 良い歯並びとは、見た目の美しさだけをいうのではありません。歯並びが整っているとブラッシングがしやすくなり、将来の虫歯や歯周病のリスクを減らすことにもつながります。
さらに、きちんと噛めるようになることで、栄養の摂取を助けるというメリットも。当院では全身の健康も考えて、早期の矯正治療をおススメしています。
また、お子さまの歯の生え方・歯並びは、日常のお口のまわりのクセでも変わってきます。お口をポカンと開けている、舌をよく出す、舌で歯や唇を押してしまうなど、気になるクセはありませんか?
当院では、お口の周りの筋肉や舌の力を正常化するトレーニング、「口腔筋機能療法(MFT)」も実践しています。お子さまのお口のクセや歯並びが気になったら、無料相談も行っていますので、ぜひお気軽にご相談ください。
 大人の方にとっても、矯正治療は負担の大きいものです。当院では、なるべくお子さまに負担のかからない矯正治療を行うために、小学校低学年のうちは固定式の装置は使用しないようにしています。取り外しのできない装置をつけてしまうと、歯磨きが難しくなるためです。
そこで、歯磨きがしやすく目立たない、内側から装着する装置などを、お子さまのお口の状態に合わせてご提案しています。固定式の装置を使う場合にも、歯磨きがしやすいタイプのものをお選びしていますので、ご安心ください。
また、あごの成長を利用して、できるだけ抜歯の必要のない矯正治療を心がけています。治療の際は、保護者の方にも診療室に一緒に入っていただいて、お子さまのお口の状態や治療についてお話しをしながら診療をしています。
お子さまの矯正治療では、4ヶ月に1回、虫歯や歯ぐきの定期検診に来ていただいているので、永久歯に生え変わる際の歯並びの変化などを、見逃すことなくチェックできます。
また当院では、できるだけ歯を抜かない矯正治療を心がけております。歯を抜かないことで、治療後に歯並びが元に戻ってしまう「後戻り」を少なくでき、歯を抜くことによる噛み合わせのズレを防げるなど、大きなメリットがあるのです。
 診療時間:月火水金 午前9:00~13:00/ 午後15:00~20:00
 土 午前9:00~13:00 / 午後15:00~19:00
 日祝 9:00~15:00
 休診日:木曜日
 「キレイな歯並びにあこがれている」という方は、少なくないと思います。しかし「目立つ矯正装置をつけたくない」という理由で、矯正治療に二の足を踏んでしまう方もいらっしゃいます。
当院ではそんな患者さまのために、目立たない矯正装置をご提供。歯と同じような色のセラミック製のブラケット(歯の表面につける器具)や、白いワイヤーを使用して、できるだけ目立たない矯正治療を行います。
また、透明な「マウスピース」を使用した矯正治療もご用意しております。こちらは金属を一切使用しないため、金属アレルギーの方も安心して治療が受けられます。マウスピースはいつでも取り外しできるため、お食事や歯磨きの際は取り外すことが可能です。治療中も、違和感なく美味しくお食事を楽しめるだけでなく、お口の衛生環境を維持する上でも、メリットの大きい治療法です。
 Before
 途中
 終了時
|   施術名   |    クリアアライナーによるマウスピース矯正   | 
|---|
|   施術の説明   |    非抜歯でマウスピースでできるだけ歯並びを改善したいとのことだったので一切の固定式装置は装着せずにマウスピース矯正を行った。   | 
|---|
|   施術のリスク   |    矯正に関しては矯正装置により口腔内粘膜にあたって傷ができる場合があります。歯が動くときに痛みや違和感を数日感じることがあります。矯正により動いた歯の歯ぐきが下がることがあります。治療中顎関節に違和感を生じることがあります。歯の神経の症状が出る場合があります。歯根吸収を起こすことがあります。後戻りを防ぐため数年はリテーナーが必要になります。   | 
|---|
|   施術の価格   |    680000円   | 
|---|
 Before
 治療中
 After
|   施術名   |  
|---|
|   施術の説明   |    上顎の真ん中に隙間があるため審美的な問題を生じていたため上顎前歯部に限定した部分矯正をマウスピース矯正で行い、隙間を閉じた。   | 
|---|
|   施術のリスク   |    矯正に関しては矯正装置により口腔内粘膜にあたって傷ができる場合があります。歯が動くときに痛みや違和感を数日感じることがあります。矯正により動いた歯の歯ぐきが下がることがあります。治療中顎関節に違和感を生じることがあります。歯の神経の症状が出る場合があります。歯根吸収を起こすことがあります。後戻りを防ぐため数年はリテーナーが必要になります。   | 
|---|
|   施術の価格   |    230000円   | 
|---|
 矯正治療を行っている歯科医院には、大きく分けて3つのタイプがあります。ひとつは矯正治療の専門医院。もうひとつは一般の歯科医院に、矯正治療専門の歯科医師が定期的に来て治療を行う形態、そして当院のように、一般歯科診療と矯正治療の両方を行っている歯科医院です。
矯正専門のクリニックでは、もし虫歯や歯周病など、お口のトラブルが見つかった場合、ほかの歯科医院に行って治療しなければならないことがあります。
また月に1回など、決まった日だけに矯正専門の歯科医師が来る歯科医院では、予約の調整が難しく、もしその日に都合がつかなければ、1ヶ月先、2ヶ月先まで待たなければなりません。そのうえ、何かトラブルが起こった場合、すぐに対処できないこともあります。
 当院では、矯正治療と一般の歯科診療の両方をご提供しています。土日祝日も診療を行っていますので、患者さまの都合に合わせて予約をお取りいただけますし、何かあればいつでも対応が可能です。
矯正治療は長期に及びますので、治療中に万一、虫歯や歯周病にかかってしまっても、院内で並行して治療できます。また矯正治療中の専門的なクリーニングや、治療終了後の定期検診などのアフターフォローまでを継続的に行い、患者さまのお口の健康を総合的にサポートしていきます。
矯正治療に携わって15年以上(※)の、経験豊富な歯科医師が治療を担当し、無料相談も行っておりますので、まずはお気軽にお問い合わせください。
(※)2018年現在
| 矯正検査・分析診断 | ワイヤー矯正 ¥17,000 マウスピース矯正 \41,000  |  
|---|
| 矯正相談 | 初回無料 | 
|---|
| こどもの矯正 | ステップ1 ¥495,000 ステップ2 ¥350,000  |  
|---|
| こどものインビザライン矯正 | ステップ1 ¥480,000 ステップ2 ¥440,000 保定用マウスピース\48,000  |  
|---|
※毎月の調整料は上記料金に含まれているためかかりません。
| おとなの矯正(全体的な本格矯正) | ¥850,000 | 
|---|
※毎月の調整料は上記料金に含まれているためかかりません。
| 部分矯正(1本の歯から) | ¥52,000~¥500,000 | 
|---|
| おとなの見えない矯正(マウスピースを使った外せる矯正、インビザライン等) | ~¥708,000 | 
|---|
| 虫歯で埋まった根っこを引っぱりだす部分矯正(エクストゥルージョン) | ¥32,000 | 
|---|
※虫歯が深くても、あきらめずに残す方法です。
| 倒れた歯を起こす部分矯正 (大臼歯の場合)  |  ¥75,000 | 
|---|
| MFT(口腔筋機能療法) | 1回 ¥3,000 | 
|---|
| ホワイトワイヤー&セラミックブラケット | ¥100,000 | 
|---|
| インプラント矯正スクリュー埋入 | 1本 ¥15,000 | 
|---|
※金額は全て税込です。
 歯並びや噛み合わせについて、気になることを何でもご相談ください。矯正治療について模型やパソコンを使って大まかにご説明いたします。
 レントゲン撮影、歯型の採取、噛み合わせの確認など、診断のための検査を行います。
 
 
 30分ほどのお時間をお取りして検査結果、診断、いくつかの治療プランについてのご説明、ご相談をしていきます。
 治療計画にご納得いただき、ご希望のプランが決まりましたら治療を開始します。
 歯並びが整ったら、保定装置( リテーナー) をつけていただきながら、経過観察を行います。
この度5月15日より診療時間を以下のように変更させていただくことになりました。社会情勢の変化や働き方改革に伴い変更させていただく次第ですのでご不便をおかけすることもあると思いますがよろしくお願いいたします。
 
 平日9:00~18:30
 土曜9:00~17:00
 平日土曜は昼休13:30~15:00
 
 日・祝9:00~15:00
 昼休なし
  
| 月 | 火 | 水 | 木 | 金 | 土 | 日 | |
|---|---|---|---|---|---|---|---|
| 午前 | ○ | ○ | ○ | × | ○ | ○ | ● | 
| 午後 | ○ | ○ | ○ | × | ○ | △ | ● | 
午前:9:00~13:30
 午後:15:00~18:30
 △:土曜は17:00まで
 ●:日曜・祝日は9:00~15:00
休診日:木曜日